Herbst Appliance Reviews Best of 2021

All the best of usa trending information up to date. Search anything about usa trending information in this website.

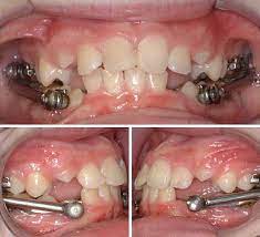
Herbst Appliance Reviews. The Herbst appliance helps supply the force to maintain this jaw posture. I first learned about the Herbst appliance back in the 1980s.

The Patient S Guide To The Herbst Appliance Premier Orthodontics
The Patient S Guide To The Herbst Appliance Premier Orthodontics from yourazbraces.com

There are many different designs of Herbst appliances. This appliance allows patients to move laterally and vertically without disengaging the appliance. Gene Williamson from Atlanta was using it to treat TMJ at the time.

Ed Spiegel began using and teaching the Herbst.

But you will have to work with your orthodontist to determine the best solution. The Sleep Herbst Appliance is a mandibular re-positioning device that has been in use since 1909 in orthodontic and TMJ therapy prior to its modification for treatment of sleep disordered breathing. It is an option which replaces the cumbersome headgear which was used in the past for the same purpose. Two of my children had a Herbst appliance.